Qu’est-ce que le lait de transition?
Dans la nature, les vaches fraîchement vêlées produisent du colostrum qui, graduellement, devient du lait. Durant ces quelques jours, les composants intéressants du colostrum demeurent : immunoglobulines G (IgG), leucocytes, facteurs de croissance, insuline, sans oublier de hauts niveaux de nutriments. Tout cela joue un rôle important dans l’établissement du système gastro-intestinal et immunitaire du veau.
Pratiquement, le lait de transition vient directement de la vache pendant les premiers jours suivant le vêlage, mais peut aussi être reconstitué en mélangeant du lactoremplaceur (ou du lait entier) avec du colostrum (en poudre ou frais/congelé).
Pourquoi le lait de transition?
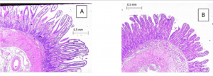
Plusieurs études révèlent que cette pratique permet un meilleur développement des villosités de l’intestin ainsi qu’une paroi intestinale plus épaisse. Cela contribue à une meilleure digestion dans la phase critique des premières semaines de vie. Van Soest et coll. indiquent qu’ils ont observé moins de diarrhée, moins de traitements et plus de gain de poids (2022).
Durant les jours où le veau reçoit le lait de transition, certaines recherches ont exposé le maintien de hautes concentrations en IgG dans le sérum du veau (Steele et coll.,2020).
Récemment, l’Université de Guelph a supporté ces résultats en démontrant les bénéfices quant à l’utilisation du lait de transition jusqu’à 14 jours (en passant d’un ratio lait/colostrum de 50/50 à un ratio de 90/10).

Réflexions économiques
Quotidiennement, la période 0-2 mois est la plus dispendieuse. Étant une période cruciale, nous pouvons encourager une importante prise de poids par jour et par dollars investis. Toutefois, il faut considérer qu’il est aussi possible engendrer des pertes importantes en prenant en considération que le taux de morbidité́ est plus élevé que n’importe quelle autre période. Cela étant dit, le lait de transition s’avère un outil avantageux dans les troupeaux laitiers. D’ailleurs, plusieurs clients d’Uniag qui pratiquent cette méthode voient les effets positifs dans leur élevage.
Cet investissement est moindre, en comparaison aux coûts de morbidité, de retard de croissance et de traitements des veaux.
Voici un exemple d’un veau consommant 8 litres de lait :
Coût de l’ajout de colostrum en poudre pendant 7 jours (ratio 50 :50) : environ 58 $
Coût de traitement d’une diarrhée pendant 3 jours (électrolytes + meloxicam) : environ 50 $, sans compter les coûts associés à long terme, dont la production laitière moindre en 1re lactation (Van Ambourgh et coll.,2012).
N’hésitez pas à solliciter votre expert-conseil pour mettre en place un protocole gagnant dans votre élevage.
Bon succès!